A 75 year old was brought to the emergency in gasping
condition and paralysis of the right side of the body, Before that he is known
case of COPD since 8 years, ex-smoker 10
years before and 15 days before admitted in the local hospital for acute
exacerbation of SOB where he was nebulised after 5 days he developed cough,
dropping of saliva towards right side and suddenly he developed severe gasping,
paralysis of the body. After reaching the hospital he develops DVT followed by
Pneumothorax and latest observation seen is Dolls eye Negative.
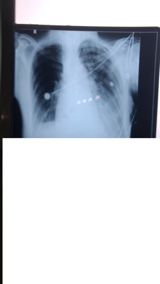
X rays
2nd one
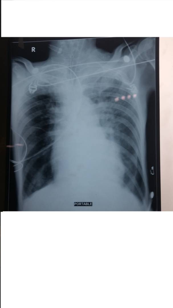
The most recent one
CT thorax
CT Brain
A Picture of his hand followed by doppler report
And finally video with the Unidentified sign with the video:







Comments
Post a Comment